发布时间:2025-11-06
用户好评反馈合集(六)
精确的实验结果依赖于精准选择的抗体。
优品生物深耕抗体抗原研发领域多年,依托强大的抗体发现与蛋白质设计平台,目前已完成所提供抗体的品质验证、性能测试等工作,特异性、灵敏度、稳定性等指标均处于行业领先地位。
做WB实验就选优品10ul抗体
1、高特异性和高灵敏度:精准结合目标抗原,减少交叉反应;能检测低浓度抗原,早期发现。
2、经济高效:10ul小规格抗体降低了实验成本,避免资源浪费和污染风险。
3、广适样本:支持多种样本类型,满足多样需求。
4、应用广泛:适用于多种实验技术和应用场景。
以下是我们真实客户反馈好评,
在此对提供本次反馈数据的客户表示感谢。
1
科研原料 Histone H4 Monoclonal Antibody
Histone H4 Monoclonal Antibody 是一款高特异性、高亲和力的科研用抗体。它可特异性识别内源性组蛋白H4,适用于染色质免疫共沉淀(ChIP)、Western Blot、免疫荧光(IF)等多种实验。该抗体性能稳定,背景清晰,是研究表观遗传调控、基因表达、染色质动力学等领域的可靠工具。
应用场景
WB
使用单位
武汉理工大学
采购指标
YP-mAb-01790
客户评价
抗体特异性强,WB结果干净漂亮,很满意!

2
科研原料 SOD1 Monoclonal Antibody
SOD1 Monoclonal Antibody 是一款特异性靶向超氧化物歧化酶1(Cu/Zn-SOD)的高品质抗体。经Western Blot、免疫组化等多种实验验证,它能清晰识别内源性SOD1蛋白,条带单一,背景低。该抗体是研究氧化应激、肌萎缩侧索硬化症及相关神经退行性疾病领域的理想工具。
应用场景
WB
使用单位
哈尔滨工业大学
采购指标
YP-mAb-01192
客户评价
WB条带特异性强,背景干净,效果出色!

3
科研原料 ANXA5 Monoclonal Antibody
ANXA5 (Annexin A5) Monoclonal Antibody 是一款高性能抗体,可特异性识别膜联蛋白A5。该抗体在细胞凋亡检测、信号转导及心血管疾病研究中应用广泛,经WB、IF、IHC等严格验证,表现出高亲和力与低背景,结果清晰可靠,是相关领域研究的得力工具。
应用场景
WB
使用单位
厦门大学
采购指标
YP-mAb-16280
客户评价
遇到不理想的条带,技术老师耐心帮我分析原因,数据质量显著提升。

4
科研原料 14-3-3 β Monoclonal Antibody
14-3-3 β Monoclonal Antibody 是一款高特异性抗体,可精准识别14-3-3 β亚型。该抗体经WB、IP、免疫荧光等严格方法验证,能有效用于检测内源性14-3-3 β蛋白,条带单一,背景清晰。它是研究细胞信号转导、细胞周期调控及蛋白质相互作用的理想工具。
应用场景
WB
使用单位
中南大学
采购指标
YP-mAb-03655
客户评价
IP实验的完美搭档,捕获效率高,让我的研究事半功倍。

5
科研原料-GAPDH Polyclonal Antibody
GAPDH Polyclonal Antibody 是一款高灵敏度和高特异性的内参抗体,广泛用于Western Blot、免疫荧光等实验。该抗体能有效识别不同物种来源的GAPDH蛋白,条带单一且位置准确,背景清晰,在不同组织和细胞样本中均表现稳定,是蛋白质定量分析的可靠标准。
应用场景
WB
使用单位
华南理工大学
郑州大学医学院
采购指标
YP-Ab-03502
客户评价
每次Western Blot结果都非常稳定,条带漂亮,是我实验室的标配内参!
6
科研原料-SMN1 Monoclonal Antibody
SMN1 Monoclonal Antibody 是一款高特异性抗体,可精准识别运动神经元生存蛋白1(SMN1)。该抗体经免疫荧光、Western Blot等严格验证,能有效检测内源性SMN1蛋白的表达与定位,背景低、信号清晰,为脊髓性肌萎缩症(SMA)及相关神经疾病研究提供关键工具。
应用场景
WB
使用单位
四川大学
采购指标
YP-Ab-12617
客户评价
实验结果稳定可靠,大大推进了我们的课题。

7
科研原料 IL-6Rα Monoclonal Antibody
IL-6Rα Monoclonal Antibody 是一款高性能抗体,可特异性识别白细胞介素-6受体α链(IL-6Rα)。该抗体经流式细胞术、阻断实验及免疫沉淀等严格验证,能有效用于检测受体表达、研究IL-6信号通路及炎症与自身免疫疾病机制,是相关领域的理想研究工具。
应用场景
WB
使用单位
湖北中医药
采购指标
YP-mAb-16049
客户评价
流式分选效果出色,且成功用于通路阻断实验,功能验证很可靠!

8
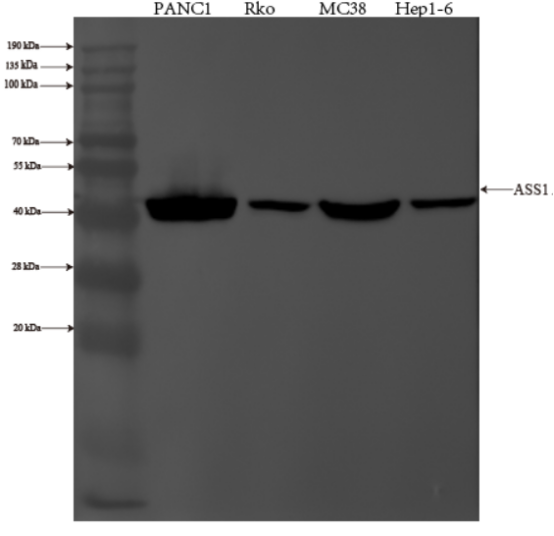
科研原料 ASS1 mouse mAb
IL-6Rα Monoclonal Antibody 是一款高性能抗体,可特异性识别白细胞介素-6受体α链(IL-6Rα)。该抗体经流式细胞术、阻断实验及免疫沉淀等严格验证,能有效用于检测受体表达、研究IL-6信号通路及炎症与自身免疫疾病机制,是相关领域的理想研究工具。
应用场景
WB
使用单位
北京中医药大学
采购指标
YP-mAb-18014
客户评价

Uping
Bio
优品生物将持续用领先的抗体产品
为广大科研人士提供高质量、高性价比的利器
我们将持续与大家分享好评指标合集
也欢迎各位向我们分享你们的产品使用反馈!
优品生物
产品推荐
欢迎申请、预定、定制
▼详情咨询客服▼