新闻聚焦
News

用户好评|口碑爆棚!优品生物好评指标反馈合集(四)

发布时间:2025-08-21

用户好评反馈合集(四)

       精确的实验结果依赖于精准选择的抗体。

       优品生物深耕抗体抗原研发领域多年,依托强大的抗体发现与蛋白质设计平台,目前已完成所提供抗体的品质验证、性能测试等工作,特异性、灵敏度、稳定性等指标均处于行业领先地位。


图片

做WB实验就选优品10ul抗体1、高特异性和高灵敏度:精准结合目标抗原,减少交叉反应;能检测低浓度抗原,早期发现。

2、经济高效:10ul小规格抗体降低了实验成本,避免资源浪费和污染风险。

3、广适样本:支持多种样本类型,满足多样需求。

4、应用广泛:适用于多种实验技术和应用场景。


以下是我们真实客户反馈好评,

在此对提供本次反馈数据的客户表示感谢。

1.Chk1 Monoclonal Antibody

Chk1(Checkpoint kinase 1)单克隆抗体是一种特异性靶向Chk1蛋白的抗体,用于检测或抑制Chk1的活性。Chk1是DNA损伤修复通路中的关键激酶,参与细胞周期检查点调控,在癌症治疗中具有重要研究价值。该抗体广泛应用于免疫印迹(WB)、免疫组化(IHC)、流式细胞术(Flow Cytometry)等实验,助力肿瘤机制研究及靶向药物开发。其高特异性和灵敏度为DNA损伤反应及癌症治疗研究提供了可靠工具。


应用场景

WB

使用单位

河南农业大学


采购指标

YP-mAb-16710,Chk1 Monoclonal Antibody


客户评价

跑出来的效果真好,售后服务也不错

图片


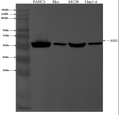
2.ASS1 mouse mAb

ASS1 Mouse mAb 是一种特异性识别精氨琥珀酸合成酶 1(Argininosuccinate Synthase 1, ASS1)的小鼠源单克隆抗体。ASS1 是尿素循环中的关键酶,参与精氨酸合成,其表达缺失与多种癌症(如肝癌、黑色素瘤)的代谢重编程相关。该抗体适用于 Western Blot (WB)、免疫组化 (IHC)、免疫荧光 (IF) 等实验,可用于研究 肿瘤代谢、精氨酸代谢缺陷及潜在靶向治疗策略,具有高特异性和稳定性。


应用场景

WB


使用单位

北京中医药大学


采购指标

YP-mAb-18014,ASS1 mouse mAb


客户评价

跑出来的条带特异性高,信号明显,重复性良好。客服态度耐心,售后有保障,体验很棒!

图片


3.IL-6Rα Monoclonal Antibody

IL-6Rα Monoclonal Antibody 是一种高特异性小鼠或兔源单克隆抗体,靶向白细胞介素-6受体α亚基(IL-6Rα/CD126),该受体在炎症反应、免疫调节及肿瘤微环境中发挥关键作用。该抗体适用于 ELISA、Western Blot (WB)、免疫组化 (IHC)、流式细胞术 (Flow Cytometry) 等实验,可有效检测膜结合型或可溶性IL-6Rα的表达水平,助力炎症性疾病、自身免疫病及癌症相关研究。其高亲和力与低交叉反应性确保实验数据的可靠性,是探索IL-6/IL-6R信号通路的理想工具。


应用场景

WB


使用单位

湖北中医药


采购指标

YP-mAb-16049, IL-6Rα Monoclonal Antibody


客户评价

WB检测灵敏度高,条带干净无杂带,售后团队专业负责,整体体验超出预期!

图片


4.SMN1 Monoclonal Antibody

SMN1 Monoclonal Antibody 是一种高特异性抗体,靶向运动神经元存活蛋白1(Survival Motor Neuron 1, SMN1),该蛋白是脊髓性肌萎缩症(SMA)的关键致病基因产物。适用于 Western Blot (WB)、免疫荧光 (IF)、免疫组化 (IHC) 等实验,能精准检测SMN1在细胞或组织中的表达水平,帮助研究SMA发病机制及基因治疗策略。抗体灵敏度高、特异性强,为神经退行性疾病研究提供可靠工具。


应用场景

WB


使用单位

四川大学


采购指标

YP-Ab-12617,SMN1 Monoclonal Antibody


客户评价

实验结果稳定,条带位置准确,售后沟通顺畅,遇到问题迅速解决,科研好帮手!

图片


5.GAPDH Polyclonal Antibody

GAPDH Polyclonal Antibody 是一种高灵敏度、高特异性的兔源多克隆抗体,靶向甘油醛-3-磷酸脱氢酶(GAPDH)。作为广泛使用的内参蛋白,GAPDH在糖酵解和能量代谢中起关键作用。该抗体适用于 Western Blot (WB)、免疫组化 (IHC)、免疫荧光 (IF)、ELISA 等多种实验,能有效检测不同物种(人、小鼠、大鼠等)样本中的GAPDH表达。其优异的稳定性和广泛的适用性,使其成为蛋白质定量和实验对照的理想选择。


应用场景

WB


使用单位

郑州大学医学院


采购指标

YP-mAb-18014,ASS1 mouse mAb


客户评价

WB条带位置正确,无非特异性结合,售后解答专业,购买体验满分

图片



6.GAPDH Polyclonal Antibody

GAPDH Polyclonal Antibody 是一种高特异性兔源多克隆抗体,可特异性识别甘油醛-3-磷酸脱氢酶(GAPDH)。该抗体具有广谱反应性,适用于人、小鼠、大鼠等多种物种样本检测,能精准识别约36kDa的GAPDH蛋白条带。作为经典的内参对照,该抗体适用于Western Blot(WB)、免疫荧光(IF)、免疫组化(IHC)等实验,实验结果背景低、信号强、重复性好,是实验质量控制的重要工具,为蛋白定量分析提供可靠参照。


应用场景

WB


使用单位

华南理工大学


采购指标

YP-Ab-03502,GAPDH Polyclonal Antibody


客户评价

WB条带位置正确,无非特异性结合,售后解答专业,购买体验满分

图片


7.14-3-3 β Monoclonal Antibody

14-3-3 β Monoclonal Antibody 是一种高特异性小鼠或兔源单克隆抗体,靶向14-3-3 β蛋白(分子量约28kDa)。14-3-3 β属于高度保守的14-3-3蛋白家族成员,参与细胞周期调控、信号转导和凋亡等重要生物学过程。该抗体经严格验证,适用于Western Blot (WB)、免疫沉淀(IP)、免疫荧光(IF)等多种实验,能有效识别内源性14-3-3 β蛋白,条带清晰且背景低。其优异的特异性和稳定性为信号通路和癌症研究提供可靠工具,特别适用于细胞应激反应和蛋白相互作用研究。


应用场景

WB


使用单位

中南大学


采购指标

YP-mAb-03655,14-3-3 β Monoclonal Antibody


客户评价

WB检测灵敏度高,条带干净无杂带,售后团队专业负责,整体体验超出预期!

图片


8.ANXA5 Monoclonal Antibody

ANXA5 Monoclonal Antibody 是一种高特异性小鼠或兔源单克隆抗体,靶向膜联蛋白A5(Annexin A5),该蛋白是一种钙依赖性磷脂结合蛋白,参与细胞凋亡、凝血及炎症调控等重要生理过程。该抗体适用于 Western Blot (WB)、免疫荧光 (IF)、免疫组化 (IHC)、流式细胞术 (Flow Cytometry) 等实验,能有效检测ANXA5在细胞或组织中的表达与定位。其高亲和力与低交叉反应性确保实验数据的准确性,是研究细胞凋亡机制、心血管疾病及肿瘤生物学的理想工具。


应用场景

WB


使用单位

厦门大学


采购指标

YP-mAb-16280,ANXA5 Monoclonal Antibody


客户评价

抗体性能稳定,实验结果理想,售后支持给力,整体体验非常满意!

图片


Uping

Bio

优品生物将持续用领先的抗体产品

为广大科研人士提供高质量、高性价比的利器

我们将持续与大家分享好评指标合集

也欢迎各位向我们分享你们的产品使用反馈!

优品生物

产品推荐

图片


图片欢迎申请、预定、定制图片

▼详情咨询客服▼

图片